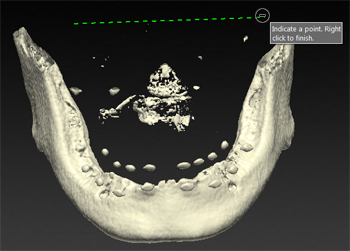
Draw a polygon to indicate which part of the volume needs to be removed from the model.
Take the following steps:
1. Click Cut
in the Patient Mask toolbar or use the keyboard
shortcut [C].
2. When hovering
over the 3D viewer, the cursor will change into
.
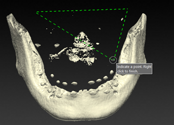
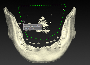
3. Draw a polygon over the part of the model you want to remove.
‒ Click on the model with the left mouse button to create the first point.
‒ Move the mouse and click to create a second point. The two points are linked with a green dotted line.

‒ Click on the model to create a third point. The green dotted line will change into a polygon. Each of the clicked points is turned into a vertex.

‒ Continue marking points until you have enclosed the part of the model that you want to cut away.

Note
Remember you are working in 3D. The Cut action will be applied in 3D as well.
4. Right-click, or press [Enter], to finish.
5. Everything within the 3D reach of the polygon is removed from the displayed volume.
6. Click Finish to apply the changes to the model