To indicate which part of the volume will be shown:
Click Isolate
in the Patient Mask toolbar. Alternatively, use the keyboard shortcut [I].
When hovering over the 3D viewer, the cursor will change into
.
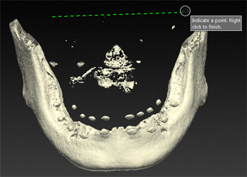
Start drawing a polygon over the part of the model you want to be isolated.
Click on the model with the left mouse button to create a point.
Move the mouse and click to create a second point. The two points are linked with a green dotted line.

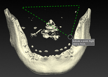
Click on the model to create a third point. The green dotted line will change into a polygon.

Continue marking points until you have enclosed everything you want to isolate.

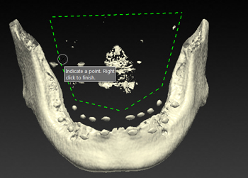
Right-click, or press [Enter], to finish.
Everything outside the polygon is removed from the displayed volume.
Click Finish to apply the changes to the model.